ხდება ისე, რომ ბაზარში ან სუპერმარკეტში ხორცის შერჩევისას ის მშვენივრად გამოიყურება, მომზადების შემდეგ კი დაღეჭვა გიჭირს. ან ფილეს საყიდლად ფული არ..

სექსის დროს ტკივილი - დელიკატური პრობლემაა, რომელზეც ქალების უმეტესობა გაჩუმებას ამჯობინებს. როგორ უნდა მოიქცეს ქალი ამ შემთხვევაში? გამოსავალი ერთია..

ყოველი ადამიანი უნიკალურია და როგორც არ უნდა ეცადონ ფსიქოლოგებმა, დაახარისხონ ადამიანები ჯგუფებად ტემპერამენტის, მანერების და ქცევის თავისებურებების..

ეს ფსიქოლოგიური ტესტი გახსნის თქვენი სულის საიდუმლოებებს. აირჩიეთ პეპელა, რომელიც ყველაზე ძალიან ოგწონთ და წაიკითხეთ პასუხები...

ჩემს დაქალს ძალიან უყვარს ხელმისაწვდომი მასალებისგან სხვადასხვა ნივთების შექმნა. მისი მაგიდა მუდამ ორიგინალური ჭურჭლით არის სერვირებული, რომელიც..

შესაძლებელია თუ არა მენსტრუაციის შეჩერება? ამ კითხვით ყველა ქალი ინტერესდება. დაგვეთანხმებით ალბათ, ეს დღეები უამრავ უსიამოვნო შეგრძნებებს გვაძლევს,..

მოდის სამყარო ცვალებადია, უნდა მოასწრო მისი თვალყურის დევნა. ზოგი ნივთი ტრენდში რამდნეიმე სეზონი რჩება, და ათწლეულების შემდეგ კვლავ ბრუნდება..

ქალი სამზარეულოში საკმაოდ დიდ ხანს ატარებს. კერძების მომზადებამ სიამოვნება რომ მიანიჭოს, ამ ოთახში ყველაფერი ლამაზი, მოხერხებული და სუფთა უნდა იყოს...

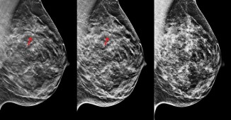
მკერდის კიბო ქალებში ყველაზე გავრცელებული ონკოლოგიური პათოლოგიაა, მაგრამ დაავადების ნაადრევ სტადიაზე დროული თერაპიის დაწყებით, მისი დამარცხება..

დიხონდრა, როგორ პრაქტიკა უჩვენებს, საკმაოდ უპრეტენზიო დეკორატიული მცენარეა. მისი ურიცხვი თხელი ნაწნავები, რომელიც 2 მეტრამდე ჩამოეშვება (უფრო თბილ..

სილამაზისა და ყვავილების სიუხვის გამო, მსხვილფოთოლა ჰორტენზია დიდი პოპულარობით სარგებლობს. მას ცალკეც და ბუჩქების ჯგუფებშიც ახარებენ, სხვა..

ზამთრის დადგომამდე დათესილი ყვავილები გამოირჩევა კარგი ზრდით, გამძლეობით ავადმყოფობებისა და ამინდების მიმართ. ასევე, ამ დროს დათესვით, დროს..

სპანაკოპიტა - ბერძნული ნამცხვარია ფეტათი და ისპანახით, რომელიც ქვეყნის სამზარეულოს სავიზიტო ბარათია და დიდ კონკურენციას გაუძლო. უძველესი დროიდან,..

ფანქეიქებს ამერიკაში ე.წ. „ოლადების“ მსგავს ნამცხვარს უწოდებენ. თუმცა, აქ, ჩვეული ბლინებისა და „ოლადებისგან“ განსხვავებით, მშრალი და თხევადი..

ყოველი სალათი თავისებურად გემრიელია, ზოგს ხორცის ნოყიერი სალათი უყვარს, ზოგსაც კი - მსუბუქი, ბოსტნეულის. დღეს ჩვენ გაგანდობთ დაბალკალორიული ფრანგული..

როდესაც ვაშლის პეროგს ახსენებენ, ხშირად შარლოტკას გულისხმობენ. უდავოდ, ტრადიციული პეროგი ძალიან გემრიელია, მაგრამ მძიმე. ჩვენ კი წარმოგიდგენთ საოცარი..

ეს მარტივი ტესტი უჩვენებს, რას გრძნობთ ამ ეტაპზე და დაგეხმარებათ ოპტიმალური გადაწყვეტილების პოვნაში, თუ რაიმე პრობლემა გაქვთ...

რომელ ბეჭედს გაიკეთებდით? ის გახსნის თქვენი ხასიათის საიდუმლოებებს. ჩემთან ყველაფერი დაემთხვა, სცადეთ თქვენც!..

სინამდვილეში, კბილის ქვა ჯანმრთელობას არ აზიანებს, მაგრამ დრო გადის, ქვები იზრდება და ამან შეიძლება პირის ღრუს უამრავი პრობლემა გამოიწვიოს,..

მზაკვრული შიმშილის გრძნობა ხშირად გვდარაჯობს საღამოობით და ძილის საშუალებას არ გვაძლევს. ბევრისთვის ნაცნობია გზა საწოლიდან მაცივრამდე,რომელსაც..