იცოდით, რომ დღეში 3 ბანანის მირთმევით ინსულტისა და გულის შეტევის რისკი რამდენჯერმე მცირდება? მეტიც, ბრიტანელი და იტალიელი მეცნიერების მტკიცებით,..

ელეუტეროკოკის სითხოვანი ექსტრაქტი, რომელიც ნებისმიერ აფთიაქში ხელმისაწვდომ ფასად იყიდება, გაგაოცებთ თავისი თვისებებით. ის შესანიშნავად ებრძვის..

ქათმის ხორცი უამრავი ადამიანისთვის საყვარელი პროდუქტია. მისი მირთმევის დროს, როგორც წესი, ჩვენ კანს თეფშზე ვტოვებთ, ხოლო ხორცს გემრიელად შევექცევით...

ვენების ვარიკოზი - პრობლემა, რომელიც ლამაზი სქესის წარმომადგენელთა უმრავლესობის თვითშეფასებას საგრძნობლად ადაბლებს. საწყის სტადიაზე ვენების..

ქალებმა იციან, როგორი უსიამოვნოა ეს - შეფერხებები ვადებში, ზედმეტი ტკივილები, სისხლის ძალზე დიდი რაოდენობა. იმისათვის, რომ ავირიდოთ ეს უსიამოვნებები,..

ჩვენი ორგანიზმის თითოეული ორგანო ერთმანეთთანაა დაკავშირებული და მუშაობს, როგორც ერთი მთლიანი სისტემა. თითოეულ ორგანოს გააჩნია გაწმენდის ავტომატური..

დიდი ხანია ასთმა მაწუხებს. როგორც ექიმმა მითხრა, ჩემი დაავადება საშუალო სიმძიმისაა - ძალიამ მძიმე და ხშირი შეტევები არ მქონია, თუმცა მდგომარეობა..

ხანში შესულმა ადამიანებმა არც კი იციან, რომ შეუძლიათ მცენარეული საშუალებებით დაეხმარონ საკუთარ სისხლძარღვებს, გულს, ნერვულ სისტემას. მე ყველას ვურჩევ..

პირველი ნაოჭების გამოჩენა კისრისა და დეკოლტის ზონაზე - ნამდვილი კატასტროფა ლამაზი სქესის თითოეული წარმომადგენლისთვის. ამ უსიამოვნო მოვლენის გამო..

ხლახურ მედიცინაში უკვე რამდენიმე საუკუნეა, რაც ფართოდ გამოიყენება ეს მცენარე სხვადასხვა სერიოზული დაავადებების წინააღმდეგ საბრძოვლელად...

სამწუხაროდ, პარაზიტული ინვაზიისგან არცერთი ადამიანია დაზღვეული. განურჩევლად ასაკისა და სქესისა, ჩვენი პლანეტის მოსახლეობის დაახლოებით 95%-ს..

წარსულში ჩვენი წინაპრები წიწიბურას ''მარცვლეულთა მეფედ'' მოიხსენიებდნენ, თანაც სრულიად დამსახურებულად. ეს პროდუქტი ხომ ვიტამინების, მარილებისა და..

წყლის ლერწამი, გოგრა, ატამი, იევლევის ცრემლის თესლი. ამ მცენარეების ნაყენი საკუთესო საშუალებაა გაცივების დროს...

ზოგიერთი რჩევა მათთვის, ვინც გადაწყვიტა ისარგებლოს "მწვანე აფთიაქის" სიკეთით, რათა არ მოუტანოთ მავნებლობა საკუთარ და სხვის ჯანმრთელობას, უნდა..

კუჭქვეშა ჯირკვალი - ადამიანის საჭმლის მომნელებელი სისტემის ორგანო. სწორედ ეს ჯირკვალი გამოიმუშავებს ჰორმონებს, რომლებიც მონაწილეობას იღებს ცილოცანი,..

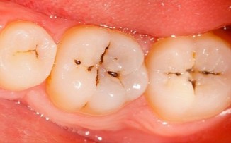
იმ ფაქტის მიმართ, რომ კარიესის მკურნალობა შესაძლებელია დამოუკიდებლად სახლის პირობებში, ადამიანების უმრავლესობა სკეპტიკურადაა განწყობილი. მერწმუნეთ,..

ფეხის სოკო - ერთ-ერთი ყველაზე გავრცელებული სახოების ინფექცია. სამწუხაროდ, ეს ინფექცია ძალიან მალე ვრცელდება. სტატისტიკური მონაცემების მიხედვით,..

მქონდა თორმეტგოჯა ნაწლავის წყლულოვანი დაავადება. ძალიან მაწუხებდა ტკივილები, ბევრნაირი წამალი მივიღე, დროებით მიუმჯობესდებოდა მდგომარეობა, მაგრამ..

ბავშვები გიჟდებიან ტკბილეულზე! რა მოვიმოქმედოთ მშობლებმა, როდესაც ჩვენი პატარები წარმოუდგენლად დიდი რაოდენობით შაქარს იღებენ და ეს მავლენბელია მათი..

ალბათ. ბევრს სმენია ნივრის ზეთის მაკურნებელი ძალის შესახებ, რომელიც ასუფთავებს სახსრებს, ხსნის გულის სპაზმებს. გარდა ამისა, ნივრის ზეთი ეხმარება..