დიათეზი ექსუდაციური - თავისთავად წარმოადგენს კანისა და ლორწოვანი გარსის მოჭარბებულ მგრძნობელობას გარეგანი გამაღიზიანებლებისადმი. ექსუდაციური დიათეზის..

საშუალება, რომელსაც დღეს ჩვენი რედაქცია გთავაზობთ, მყისიერად შეგიმსუბუქებთ მდგომარეობას ვენების ვარიკოზის დროს...

ჩვენი კუჭქვეშა ჯირკვალი გამოყოფს ფერმენტებს, რომლებიც ხელს უწყობს საჭმლის მომნელებელ სისტემას გამართულად ფუნქციონირებაში და ჰორმონებს, რომლებიც..

კეთილთვისებიანი წამონაზარდი თავს იჩენს კუნთოვანი ქსოვილის სპონტანური პროლიფერაციის შედეგად, რაც შეიძლება განაპირობოს ჰორმონალურმა დისბალანსმა,..

კულმუხო ხალხურ მედიცინაში მეტად პოპულარული მცენარეა, მას თითქმის ყველა დაავადების სამკურნალოდ ხმარობდნენ. კულმუხოს შესახებ ცნობები გვხვდება ჯერ კიდევ..

ოსტეოქონდროზი - მოკლე ენციკლოპედიური განმარტებით დაავადებათა ჯგუფია, რომელშიც გაერთიანებულია გრძელი ლულისებრი ძვლების ხრტილქვეშა და მოკლე ძვლების -..

ნევრალგია- შეტევითი ან პერიოდული ხასიათის მწვავე, მწიწკნავი ან ყრუ ტკივილია ნერვის მიმართულებით მოძრაობის, მგრძნობელობისა და რეფლექსების მოშლის..

უახლესი კვლევების შედეგად დადგინდა კავშირი კორტიზოლსა და მუცლის ცხიმს შორის. კორტიზოლი - ჰორმონი, რომელსაც გამოიმუშავებს ჩვენი ორგანიზმი სტრესის..

ჰერპესი ( ბუშტუკოვანი ლიქენი ) - მწვავე , ციკლური მიმდინარეობის ვირუსული დერმატოზია ბუშტუკოვანი გამონაყარით განსაკუთრებით იმ ადგილებში, სადაც კანი..

ალოე ვერა წარმოუდგენლად სასარგებლო მცენარეა, რომელიც სამკურნალო თვისებებს ფლობს. ის დიდი პოპულარობით სარგებლობდა ისეთ პოპულარულ ისტორიულ პერსონაჟებს,..

მქონდა სისხლდენა სწრორი ნაწლავიდან . მალე კვანძებიც შევნიშნე - მივხვდი , რომ ბუასილი იყო. ექიმთან მისვლა მომერიდა და გადავწყვიტე, თავად მემკურნალა...

ყველაზე გავრცელებულ პარაზიტს კუდმახვილა ანუ წვეტა ჭია ეწოდება ის მსოფლიოს ყველა ქვეყანაში ფართოდ გავრცელებული ნაწლავის პარაზიტია. ამ პარაზიტით..

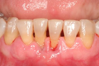
პაროდონტიტი - დესტრუქციული ბუნების დაავადება, ანუ ღრძილების ანთებასთან ერთად განილევა კბილბუდის კედლებიც, კბილები თანდათან ირყევა და საბოლოოდ ცვივა...

ცხოვრების ნაკლებად მოძრავი სტილის შედეგად ჩვენი ხერხემალი საგრძნობლად ზიანდება. ზედმეტ კილოგრამებზე და ცხიმოვან ფენებზე საუბარიც კი აღარ გვაქვს.....

ხალხურ მედიცინაში ბაბუაწვერას ფესვების ნაყენს იყენებენ კუჭ-ნაწლავის მოქმედების გასაუმჯობესებლად, როგორც მადის მომგვრელ, ნაღვლის სადენ საშუალებას...

უძველეს დროში ჯანჯაფილს ხშირად გამოიყენებდნენ ხალხურ მედიცინაში გაციებისა და გრიპის სამკურნალოდ. მოგვიანებით ამ გასაოცარმა მცენარემ წარმოუდგენლად..

რაქიტი - ორგანიზმის საერთო დაავდებაა, რომელსაც " ინგლისურ ავადმყოფობას " უწოდებენ; გამოწვეულია D ვიტამინისა და მზის სხივების უკმარისობით, იწვევს..

მასტიტი - სარძევე ჯირკვილის ანთებაა; ჩვეულებრივ თავს იჩენს ძუძუზე ნაბზარების დროს, როგორც წესი, ჩვილის მკვებავ დედებში. უეცრად ჩნდება მკვეთრი..

ლუმბაგო (წელკავი ) - შეტევითი მწვავე ტკივილია წელის არეში, რომელიც უმთავრესად წარმოიქმნება ხერხემლის კუნთების გადატვირთვის შედეგად ( სიმძიმეების..

ეს რეალური ისტორიაა ქალბატონის ცხოვრებიდან, რომელსაც დიაგნოზად საშინელი დაავადება, სიმსივნე დაუსვეს...