იაპონელებს სჯერათ, რომ ხელის თითოეული თითი ორ ორგანოსთანაა დაკავშირებული. ამ მოსაზრებაზე დაყრდნობით მათ შემუშავებული აქვთ 5 წუთიანი მეთოდი, რომელიც..

მეცნიერებმა გამოთვალეს: თითოეული თმის ღერის სიცოცხლის ხანგრძლივობა 2–დან 5 წლამდეა. ამის შემდეგ ვადაგასული თმა ცვივა, ხოლო მის ადგილზე ფოლიკულიდან..

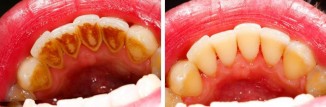
ღრძილების დაავადების პირველი ნიშნების ცოდნა მნიშვნელოვანია, რამდენადაც კბილების დაკარგვის მიზეზთა დიდი წილი სწორედ მასზე მოდის. თითქმის ყველა..

არ არსებობს ადამიანი, რომელსაც პირის ღრუსთან დაკავშირებული პრობლემები არ აწუხებს! როგორც წესი, ჩვენ გვერიდება ერთმანეთთან სტომატოლოგიურ პრობლემებზე..

გავთ სურვილი მარტივად, სწრაფად, ეფექტურად და უმნიშვნელო ფინანსური დანახარჯებით მოიშოროთ ცელულიტი და გახდეთ ჯანმრთელი, აბრეშუმის კანის მფლობელი? მაშინ..

სიმსუქნე - 21-ე საუკუნის შავი ჭირი! გამომდინარე იქიდან, რომ დღესდღეობით უამრავ ადამიანს მიზნად წონის დაკლება აქვს დასახული, ამ საკითხთან დაკავშირებით..

არსებობს მრავალი ხალხური საშუალება, რომლებიც წარმატებით ებრძვიან შარდის ბუშტისა და საშადრე გზების ანთებას . FPAPARAZZI-ს რედაქცია წარმოგიდგენთ..

ამ მალამოს მომზადების რეცეპტი საკმაოდ მარტივია, სამაგიეროდ ეფექტურობით დარჩებით გაკვირვებული. ამ ხალხური საშუალების რეცეპტი სრულიად ნატურალურია, ის..

მანამ სანამ კოქტეულის მომზადებას შეუდგებოდეთ, გაითვალისწინეთ fpaparazzi-ს რედაქციის მიერ შემოთავაზებული რჩევები:..

დიდი და მკვრივი მკერდი - თითოეული ქალბატონის ოცნება! დღესდღებოით მაღაზიების თაროებზე შეგიძლიათ უამრავი საშუალების შეძენა, რომელიც მკერდის ფორმის..

რატომ ყალიბდება თრომბები? ასე ჩვენი სხეული ცდილობს დაზიანებული სისხლძარღვების ''შერემონტებას'', თუმცა არასწორად ფორმირებულ თრომბს უდიდესი ზიანის..

თუ გჭირდებათ წონის სწრაფად დაკლება სადღესასწაულო მოვლენისთვის და გსურთ ხანმოკლე დროში გამოიყურებოდეთ ლამაზად და მიმზიდველად ნებისმიერ კაბაში,..

დოეტა რომელსაც fpaparazzi-ს რედაქცია გთავაზობთ ავტორის თქმით გაწმენდს თქვენს ორგანიზმს და სამუდამოდ მოგაშორებთ ზედმეტ კილოგრამებს. ამ 7 დღიანი დიეტის..

ყურები ბარძაყებზე ან გალიფე - ეს არის ცხიმების დაგროვება ბარძაყის შიდა მხარეს. მრავალი ქალბატონი შეჯახებია ამ პრობლემას და იციან, რომ ამ ხელშეუხებელ..

კვების ასეთი სისტემა გამოირჩევა სიმკაცრით, ამ დროს ორგანიზმი ძლიერ სტრეს განიცდის, რომელიც შედეგის გარანს წარმოადგენს. ასეთი დიეტის დაცვა..

მსოფლიო დონის მოდელის სინდი კროუფორდის დიეტა მიეკუთვნება გახდომის მსუბუქი მეთოდების რიგს, რადგან გამორიცხავს შიმშილის შეგრძნებას...

კომბოსტოს დიეტა გულისხმობს არა მხოლოდ ცხიმის მწვენი სუპს, არამედ ზოგიერთ დაბალკალორიულ პროდუქტსაც ცხოველური და მცენარეული წარმომავლობით...

დღეს ამ სტატიაში fpaparazzi-ს რედაქცია შემოგთავაზებთ ისეთი პრობლემური ზონების ვარჯიშებს, როგორიცაა მუცელი და ბარძაყები. თუკი თქვენ ნაჩვენებ ვარჯიშებს..

თმის ცვენის პრობლემისგან დღესდღეობით მილიონობით ადამიანი იტანჯება. ვიტამინების უკმარისობა, ძლიერი სტრესი, ტრამვირებული თმის ბოლქვები და არახარისხიანი..

ფარისებრთა ჯირკვალი - ერთ-ერთი ყველაზე სასიცოცხლოდ მნიშვნელოვანი ორგანოა. თითოეული ჩვენთაგანის სახლში ყოველდღიურად იმატებს ნივთები, რომლებიც უფრო..