ყოველთვის მოერიდეთ ყავას გაღვიძებიდან მომდევნო ერთი საათის განმავლობაში. ეს წესი განსაკუთრებული სიმკაცრით უნდა დაიცვან იმ ადამიანებმა, რომლებიც..

ლიმონისგან მაქსიმალური სარგებელის მისაღებად საუკეთესო გზა მისი გაყინვაა. თქვენ ყოველთვის შეძლებთ გაყინული ლიმონის გახეხვას და მის კერძებში ჩამატებას...

ადამიანების უმრავლესობას წარმოდგენაც კი არ აქვს, რომ საკმევლის ეთერზეთი გამოიყენება არა მხოლოდ ტაძრებში, არამედ მედიცინაში, პარფიუმერიაში,..

მუხლების ტკივილი - პრობლემა, რომელიც უამრავ ადამიანს აწუხებს. თუ ტკვილი ძალიან ძლიერი და გაუსაძლისია, აუცილებელია ექმითან დროულად მისვლა, ტკივილის..

ყოველ ჯერზე, როდესაც ჩვენს ორგანიზმში რაღაც რიგზე ვერ არის, ის გვიგზავნის საგანგაშო სიგნალებს, რათა დროულად შევძლოთ პრობლემის დიაგნოსტიკა, მისი..

სიცივე - ნამდვილი სტრესი ჩვენი ორგანიზმისთვის. სხეულის ტემპერატურის ამაღლების მიზნით ჩვენ არა მხოლოდ ვიცვამთ მაქსიმალურად თბილად, არამედ ქვეცნობიერულ..

უძილობა - პრობლემა, რომელიც უამრავი ადამიანისთვის ძალიან კარგადაა ცნობილი. დეპრესია და სტრესი არ გვაძლევს ხარისხიანად გამოძინების საშუალებას, რის..

რა შეიძლება იყოს იმაზე უარესი, ვიდრე სახის კანზე არასასურველი თმის გაჩენაა? ქალბატონების საკმაოდ დიდი ნაწილი ამ პრობლემის გადასაჭრელად კოსმეტიკურ..

ხშირ შემთხვევაში დიეტები სასურველ შედეგს ვერ გვაძლევს. მიზეზი შეიძლება იყოს არასწორად შერჩეული ინდივიდუალური რაციონი. როგორ მოვიქცეთ იმ შემთხვევაში,..

სისხლში შქრის დონის დარეგულირება აუცილებელია მე-2 ტიპის დიაბეტის, ჰიპოგლიკემიის, ინსულტის, გაცხიმოვნების, სიბრმავისა და ჰიპერტონიის თავიდან..

კრუტუნი - კატისებრების კომუნიკაციის სისტემის ნაწილი, რომელსაც სხვადასხვა მიზეზი აქვს. როგორც წესი, ყველაზე ხშირად კატები მაშინ კრუტუნებენ, როდესაც..

აი რატომ ვამატებ მარილს შამპუნში. ამის წაკითხვის შემდეგ ყოველთვის ასე მოიქცევით..

გაწუხებთ თითების სახსრების ტკივილი? წვიმიან ამინდში სიტუაცია კიდევ უფრო უარესდება? არ ინერვიულოთ, რადგან ჩვენს რედაქციას მოეპოვება გასაოცარი მეთოდი,..

სამწუხაროდ, თანამედროვე მსოფლიოში ადამიანების საკმაოდ დიდი ნაწილი იტანჯება მხედველობასთან დაკავშირებული პრობლემებისგან. ასაკის მატებისა და დაბერების..

ფეხების მოვლას ძალიან დიდი მნიშვნელობა აქვს არა მხოლოდ ესთეტიკური თვალსაზრისით, არამედ ჩვენი ჯანმრთელობისთვისაც კი. მიუხედავად იმისა, რომ ჩვენი..

თითოეულ ჩვენგანს ძალიან გვიყვას ტკბილეული, თუმცა სამწუხაროა ის ფაქტი, რომ შაქარს წარმოუდგენლად უარყოფითი გავლენა აქვს არა მხოლოდ ჩვენს ფიგურაზე,..

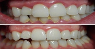
ყვითელი ნადები კბილებზე - საკმაოდ გავრცელებული პრობლემა, რომელიც უამრავ ადამიანს აწუხებს. ვაღიაროთ, ეს პრობლემა, რომელიც უდიდეს დისკომფორტთანაა..

სელის თესლი ძალზედ სასარგებლოა ჩვენი ორგანიზმისთვის. ეს პროდუქტი მდიდარია შემდეგი მიკროელემენტებით: კალიუმი, ბორი, იოდი, ნიკელი, მაგნიუმი და..

გაიცანით ლორენი და ჯასტინი, წყვილი, რომელმაც შეუძლებელი შეძლო.....

თანამედროვე მსოფლიოში უამრავი ადამიანი იტანჯება ჰიპერტონიისგან და ქოლესტერინის მაღალი დონისგან. როგორც წესი, ამ პრობლემების გამომწვევ უმთავრეს მიზეზს..