რეგულარული დატენიანების პირობებში ჩვენს კანს შეუძლია დიდი ხნით შეინარჩუნოს ელასტიურობა და ახალგაზრდობა. სამწუხაროდ, ცხოვრებისგან მიღებული დატვირთვა..

ასაკის მატებასთან ერთად ადამიანების უმრავლესობას სახსრებთან დაკავშირებული პრობლემები უჩნდება. მუხლების ჭრაჭუნი, სიმძიმის განცდა სახსრებში, წელისა და..

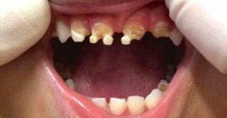
სხვადასხვა ასაკის წარმომადგენელი ადამიანების 93% კბილების კარიესისგან იტანჯება. ამ დაავადების შესახებ საკმაოდ ბევრი რამ ვიცით, თუმცა მიხედავად ამისა,..

მალე ზაფხულია და თუკი თქვენ ფორმაში არ ხართ, დროა თავი წესრიგში მოიყვანოთ. fpaparazzi გთავაზობთ ეფექტური ცხიმების დასაწვავი სასმელის რეცეპტს, რომელიც..

ვინაიდან ამ რეცეპტის ყველა ინგრედიენტი ძალიან სასარგებლოა ჩვენი ორგანიზმისათვის, მათი კომბინაცია საშუალებას იძლევა გადავამრავლოთ ეს სარგებელი და..

კოჭა ახდენს კუჭის წვენის გამომუშავების სტიმულირებას და აუმჯობესებს ნაწლავების მუშაობას, მაგრამ თუკი თქვენ რომელიმე კუჭის დაავადებით იტანჯებით გირჩევთ..

ეგზემა - ეს არის დაავადება, რომელიც კანზე ანთებითი პროცესებისა და გაღიზიანების გამოწვევას ახდენს. ადამიანის კანი, რომელიც ამ დაავადებით იტანჯება,..

ამ დაავადების გამომწვევი მიზეზები, სამწუხაროდ, მეცნიერებისთვის დღემდე უცნობია. სპეციალისტების ერთი ნაწილი მიიჩნევს, რომ რევმატოიდული ართრიტი ცუდი..

ლიმონიანი წყლის ყოველ დილით მირთმევა სულ უფრო და უფრო დიდი პოპულარობით სარგებლობს თანამედროვე საზოგადოებაში. იმ შემთხვევაში, თუ თქვენ ყოველ დილით,..

ამერიკელი ექიმები საგანგაშო სიგნალს მთელი მსოფლიოს მასშტაბით აგზავნიან: საკმარისია ბავშვების სოსისებითა და ჰოთ-დოგებით გამოკვება!..

როგორც წესი სოკო ფეხის ფრჩხილზე ჩნდება, მაგრამ ისინი ზოგჯერ ხელებზეც გავრცელდებიან ხოლმე. მათი მოშორება არა მხოლოდ ფრჩხილების სილამაზისთვის არამედ..

თვალების დატენიანება შიგნიდანაც შეიძლება - ამისათვის კი აუცილებელია ჩვენს კვების რაციონში ადამიანის ორგანიზმისთვის საჭირო ცხიმებით გაჯერებული..

დეტოქსიკაციის მეთოდი, რომელიც თურქმა ექიმა შეიმუშავა ფლობს გამოკვეთილ დადებით ეფექტს და მიმზიდველია ხელმისაწვდომობითა და სიმარტივით. fpaparazzi-ს..

კურკუმა - ძალზედ პოპულარული სანელებელი, რომლიც სასარგებლო ნივთიერებების უშრეტი წყაროა. ამ პროდუქტს ძალზედ სასარგებლო გავლენა აქვს ჩვენს ორგანიზმზე:..

იასამნების ყვავილობის სეზონონზე fpaparazzi-ს რედაქციამ თქვენთვის საკმაოდ საინტერესო რეცეპტი მოიძია რადგან იასამნის ყვავილით მკურნალობის სპექტრი..

fpaparazzi წარმოგიდგენთ მორიგ შესანიშნავ რეცეპტს სისხლძარღვების გასაწმენდად, არომატული ყვავილების ნაყენითა და თაფლით. ასეთი სასმელი დაგეხმარებათ..

''Fpaparazzi''_ის რედაქცია გთავაზობთ საშუალებას, რომელიც აბსოლიტურად ყველა ოჯახში უნდა მოიპოვებოდეს. ხველების საწინააღმდეგო ნივრის სიროპი - მრავალჯერ..

სწორი კვების მენიუ - ეს ყველა ჩვენთაგანმა უნდა ჩაინიშნოს..

ამ მეთოდის საიდუმლო იმაშია, რომ ბრინჯის მარცვალს კრისტალური სტრუქურა აქვს. როდესაც ჩვენ მარცვლებს ვალბობთ, ჩვენ მას კრახმალს ვაცლით რის გამოც ბრინჯს..

ზოგიერთი გოგონა ამტკიცებს, რომ ამ ნიღაბის ეფექტურობა უბრალოდ ჯადოსნურია, თმები თვეში 3-4 სანტიმეტრით იზრდებიან! აპლიპიხის ზეთი ასევე ნადმვილი..