დარიჩინიანი და დაფნის ფოთლებიანი ჩაი - არაჩვეულებრივი, ძალზედ ეფექტური საშუალება, როდესაც საუბარი ზედმეტი კილოგრამების მოშორებაზე მიდის...

ზედმეტად ცხიმიანი საკვები, განსაკუთრებით კი ცხოველური წამომავლობის, რამდენჯერმე ამაღლებს სისხლში ქოლესტერინის დონეს...

ზედმეტი კილოგრამების მატებისა და დიეტები არაფექტურობის განმაპირობებელი მთავარი მიზეზი ორგანიზმში მიმდინარე ნივთიერებათა ცვლის პროცესების შენელებაა...

პიგმენტური ლაქები - პრობლემა, რომელიც უამრავი ადამიანისთვისაა ნაცნობი. ეს მოვლენა უდიდეს დისკომფორტს გვიქმნის, განსაკუთრებით კი იმ შემთხვევაში, თუ..

მეტაბოლიზმი ესაა ანაბოლიზმის და კატაბოლიზმის სინთეზი, ანუ რბილი ქსოვილის დაშლა აღდგენა. თუ თქვენი მეტაბოლიზმი სწრაფია, აღარასოდეს შეგაწუხებთ ჭარბი..

ჩვენ წარმოგიდგენთ საუკეთესო რეცეპტს მაღალი ქოლესტერინის სამკურნალოდ, რომელმაც შეიძლება იხსნას თქვენი ცხოვრება ყოველდღიური, რუტინული და დამღლელი..

კარგი ამბავი არის ის, რომ განკურნებადია ამ სამი, მარტივი ინგრედიენტის დახმარებით...

საყოველთაოდ ცნობილი ფაქტია, რომ ინსულტის და გულის შეტევის რისკი ასაკის მატებასთან ერთად ჩნდება, თუმცა ჩვენს ეპოქაში ამ ასაკმა საგრძნობლად დაიწია...

ეს გასაოცარი სასმელი დაგეხმარებათ ორგანიზმის გაწმენდაში და ზედმეტი ცხიმების დაწვაში. ამ ნარევის მიღება რეკომენდირებულია დიეტის დაცვის დროს, რადგან..

კეიტ მიდლტონი სხეულის ლამაზი და მოხდენილი ფორმებით ბუნებას ნამდვილად არ დაუჯილდოვებია. ერთ დროს, არც თუ ისე დიდი ხნის წინ ქალბატონი ზედმეტ..

გასაოცარია, თუმცა უბრალო კბილის პასტის დახმარებით შესაძლებელია გავიმარტივოთ და გავიუმჯობესოთ ცხოვრება. სინამდვილეში, ამ საშუალების გამოყენების..

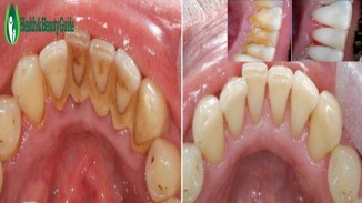
კბილი ქვა - პრობლემა, რომელიც უამრავ ადამიანს აწუხებს. გაინტერესებთ, როგორ დავივიწყოთ ეს უსიამოვნო მოვლენა სამუდამოდ სახლის პირობებში? დღეს ჩვენი..

სულაც არ არის საჭირო ჩვენი ჯანმრთელობისთვის სახიფათო დიეტების დაცვა იმისათვის, რომ დავიკლოთ წონა და გამოვიყურებოდეთ ლამაზად. დღეს ჩვენი რედაქცია..

დღეს ჩვენ შემოგთავაზებთ ჯანმრთელობის შესანარჩუნებლად შექმნილ "სიცოცლის რეცეპტს", რომელიც ძვ. წ. აღ. მეხუთე საუკუნეში შეიქმნა და დღემდე შენარჩუნდა. თუ..

ანევრიზმა საშიში დაავადებაა, თუმცა მრავალ ქვეყანაში მას დღემდე არ ექცევა სათანადო ყურადღება. აშშ-ში ანევრიზმით ყოველწლიურად თითქმის იმდენივე ადამიანი..

უამრავი ადამიანი ამ მეთოდს მიმართავს თავის გასაჯანსაღებლად, მეტიც, უძველესი დროიდან გამოიყენებოდა ეს რეცეპტი სხვადასხვა სიმპტომების სამკურნალოდ...

ეს არის ყველაზე გავრცელებული პრობლემები ჩვენ ყოველდღიურ ცხოვრებაში - სვიტერი რომელიც გჩხვლეტთ, ფეხსაცმელი რომელიც მალე ბინძურდება, ელვა რომელიც..

იგი ასევე შეიცავს დიდი რაოდენობით აგენტებს, რომელიც კიბოს უჯრედებს ებრძვიან. ის უფრო ეფექტიანი ვიდრე ყურძენი. შტოში კარგია ვირუსული დაავადებებისთვის,..

ყოველ კანის ანთების და გაღიზიანების მიზეზი შინაგან ორგანოებში უნდა ვეძებოთ. ჰორმონების არათანაბარი განაწილება, იმუნური სისტემის ინფექციები, კუჭის..

ქალბატონი, სახელად ლესლი კრეინი განიკურნა რევმატოიდული ერთობლივი, ქრონიკული ტკივილისაგან, რომელიც მას აწუხებდა 80 - იანი წლებიდან. მას წარმოუდგენელი..