რამ შეიძლება შეგვიქმნას იმაზე დიდი დისკომფორტი, ვიდრე წელის, სახსრებისა და ფეხების ტკივილმა? როგორც წესი, ეს ტკივილები ცხოვრების მჯდომარე წესითაა..

შაქრიანი დიაბეტი - ფართოდ გავრცელებული დაავადება, რომლის დროსაც სისხლში მომატებულია გლუკოზის კონცენტრაცია ხანგრძლივი პერიოდის განმავლობაში...

ჯერ კიდევ შორეულ წარსულში ძველი ბერძნები და ეგვიპტელები გამოიყენებდნენ ნიახურს სამკურნალო დანიშნულებით. დღესდღეობით ძალიან ცოტა ადამიანს თუ სმენია ამ..

ღვიძლი ძალზედ მნიშვნელოვანია ორგანოა, რომელიც განაპირობებს ორგანიზმიდან დაგროვილი ტოქსინებისა და წიდების გამოდევნას. თანამედროვე ცხოვრების სტილიდან..

დღეს ''Fpaparazzi''-ის რედაქცია გიზიარებთ ძალზედ ეფექტური სასმელის მომზადების რეცეპტს, რომელიც დაგეხმარებათ წონის დაკლებაში, ცხიმოვანი ფენების..

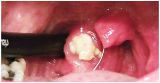
იმისთვის, რომ შევინარჩუნოთ ორგანიზმის საერთო ჯანმრთელობა მრავალი წლით, აუცილებელია პირის ღრუს შესაბამისად მოვლა. მეცნიერების მტკიცებით, პირის ღრუს..

ჰიპერპიგმენტაცია - შავი ლაქების გაჩენა კანზე. როგორც წესი, ეს პრობლემა თავს იჩენს მელანინის მოზღვავების შედეგად. ფაქტორები, რომლებიც..

ფეხების შეშუპება-გასიება მხოლოდ არაესთეტიკური პრობლემა არ არის და ის შეიძლება აწუხებდეს როგორც ქალბატონებს, ასევე მამაკაცებსაც. სამედიცინო..

დროთა განმავლობაში ადამიანის ორგანიზმში სისხლძაღვები კარგავენ უწინდელ მოქნილობას და ელასტიურობას, ხოლო მათ კედლებზე ათეროსკლეროზული ბალთები..

ფილტვებში ნახველისა და ლორწოს დაგროვების შემთხვევაში ინფექციების განვითარების რისკი ჯერადად იზრდება...

იმ შემთხვევაშიც კი, თუ თქვენ სიგარეტს არ ეწევით, სავსებით შესაძლებელია იტანჯებოდეთ ყვითელი კბილების არაესთეტიკური პრობლემისგან. სამწუხაროდ, მხოლოდ..

სიმსუქნისგან და გაცხიმოვნებისგან დღესდღეობით ადამიანების საკმაოდ დიდი ნაწილი იტანჯება, რაც თანამედროვე ცხოვრების სტილითაა განპირობებული. გარდა იმისა,..

მსხვილ ნაწლავს ერთ-ერთი უმნიშვნელოვანესი როლი აკისრია მთელი ჩვენი ორგანიზმის ჯანმრთელობისთვის. ის ხელს უწყობს ორგანიზმში წყლის ბალანსის დაცვას,..

ოპერაციები და სამედიცინო ჩარევა მოცემული პრობლემის გადასაჭრელად საკმაოდ მაღალ რისკებთანაა დაკავშირებული. სწორედ ამიტომ, ''Fpaparazzi''-ის რედაქცია..

საშუალება, რომელსაც დღეს შემოგთავაზებთ, ძალზედ სასარგებლოა ჩვენი თმისთვის. მისი დახმარებით თქვენ შეძლებთ თმის ზრდის პროცესის დაჩქარებას და შეიჩერებთ..

ხანდახან როგორი ძნელია მკაცრი დიეტების დაცვა, რეჟიმში კვება და საყვარელ პროდუქტებზე უარის თქმა... ახლა კი წარმოიდგინეთ, რომ მსგავსი დიეტები სასურველ..

იმისთვის, რომ კანი ბარძაყებზე მკვრივი და ლამაზი იყოს, მხოლოდ სწორი კვება და ფიზიკური ვარჯიშების შესრულება საკმარისი არ არის. სამწუხაროდ, კანის..

იოდი - ორგანიზმისათვის უმნიშვნელოვანესი ელემენტია, მისი სიჭარბე ან ნაკლებობა კი სხეულის მასაზე, ფსიქიკურ ჯანმრთელობაზე, ტვინისა და სხვა ორგანოების..

პირის ღრუს ჰიგიენის დაცვა კბილის პასტის, ჯაგრისისა და სპეციალური ძაფის გამოყენებით ყოველთვის სასურველ შედეგს ვერ იძლევა...

რა გვიბიძგებს ვიფიქროთ გახდომაზე? როგორც წესი ეს შინაგანი ნიშნებია. როდესაც შენ უკვე ვეღარ ეტევი ძველ ჯინსებში ან კაბის ჩაცმა გრცხვენიათ... თუმცა..