გაიგეთ, რა შეიძლება იყოს პირიდან უსიამოვნო სუნის მიზეზი
კბილის პასტის, ჯაგრისის, სავლებების დახმარებით პირის ღრუს ჰიგიენა არ იძლევა არანაირ შედეგს და თქვენ იძულებული ხართ მრავალჯერ გაიჯანსაღოთ სუნთქვა დღის განმავლობაში? უსიამოვნო სუნის მიზეზი შეიძლება იმალებოდეს ყელში მდებარე კაზეოზურ საცობებში.

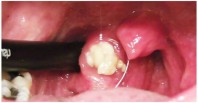
საცობები ყელში
ეს გახლავთ ძალიან უსიამოვნო სუნის მქონე ხაჭოსებრი კონსისტენციის მოყვითალო-თეთრი კოშტები, რომელიც ხშირად ყალიბდება საყლაპავის ქრონიკული ანთების - ტონზილიტის შედეგად.

FPAPARAZZI-ს რედაქცია გთავაზობთ გაეცნოთ ხალხურ მედიცინაში არსებულ რიგ საშუალებებს, რომლებიც მოგაცილებთ ტონზილიტურ საცობებს.

საცობები ყელში
ეს გახლავთ ძალიან უსიამოვნო სუნის მქონე ხაჭოსებრი კონსისტენციის მოყვითალო-თეთრი კოშტები, რომელიც ხშირად ყალიბდება საყლაპავის ქრონიკული ანთების - ტონზილიტის შედეგად.

FPAPARAZZI-ს რედაქცია გთავაზობთ გაეცნოთ ხალხურ მედიცინაში არსებულ რიგ საშუალებებს, რომლებიც მოგაცილებთ ტონზილიტურ საცობებს.
- სოდიანი სავლები
200 მლ ადუღებულ წყალში გახსენით 0,5 ჩ/კ სოდა, 0,5 ჩ/კ მარილი და 2-3 წვეთი იოდი. კარგად გამოივლეთ ყელში ეს ხსნარი დღეში რამდენჯერმე. ამ დროს თავი კარგად უნდა გქონდეთ გადაწეული. სითხე სჯობს არ გადაყლაპოთ. - არყის გამოვლება
მეტად ექსტრავაგანტული, მაგრამ ეფექტური საშუალება! პროცედურის შემდეგ საჭესთან ნუ დაჯდებით. - ბალახების სავლები
აურიეთ თანაბარი რაოდენობის გამხმარი გვირილის ყვავილები, სალბი, ფარსმანდუკი. 2 ს/კ ნარევს დაასხით ერთი ჭიქა ადუღებული წყალი, დააცადეთ, რომ მომზადდეს ნაყენი, შემდეგ გააგრილეთ ოთახის ტემპერატურამდე.
საცობების თვითნებირად ამოღება არ არის რეკომენდებული. შეიძლება დაიზიანოთ საყლაპავი. ამისათვის უმჯობესია მიმართოთ ექიმს.
ვიდეო რგოლი სუსტი გულის მქონე ადამიანებისთვის არ არის განკუთვნილი. აქ ნახავთ, რა შეიძლება იმალებოდეს ნუშისებრი ჯირკვლის სიღრმეში.

