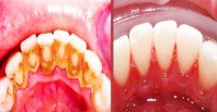
1 ინგრედიენტი გაგითეთრებთ კბილებს, დაგავიწყებთ უსიამოვნო სუნს და მოგაშორებთ კბილის ქვას

ამ გასაოცარი ინგრედიენტის დახმარებით კბილები სულ რაღაც 1 კვირაში გავითეთრე. ასეთ შედეგს ნამდვილად არ ველოდი!
ამ განსაკუთრებულ პროცედურას უძველესი აიურვედული მოძღვრება გვთავაზობს. მისი დახმარებით თქვენ გაიმაგრებთ ღრძილებს, გაითეთრებთ და გაიჯანსაღებთ კბილის ემალს, გაანადგურებთ პირის ღრუში ბინადარ მავნე ბაქტერიებს და მოიშორებთ კბილის ქვას. ნამდვილად გასაოცარია, არა?
გარდა ამისა, ეს მეთოდი ძალზედ სასარგებლოა თავის ტკივილის, ართრიტის, ასთმის, კანის დაავადებების, ინფექციური დაავადებებისა და ჰორმონალური დისბალანსის დროს.
ამ იაფი, თუმცა ძალზედ ეფექტური პროცედურისთვის გვერდითი მოვლენები არ არის დამახასიათებელი.
აიურვედა გვთავაზობს ქოქოსის ზეთის გამოყენებას პირის ღრუს გასაჯანსაღებლად. ეს პროდუქტი გამდიდრებულია სასარგებლო მიკროელემენტებით, ფლობს ანტიბაქტერიულ და ანთების საწინააღმდეგო თვისებებს, რის ხარჯზეც ის ძალზედ სასარგებლოა ჩვენი ჯანმრთელობისთვის.
ამ პროცედურის ჩატარება, რომელსაც დღეს ''Fpaparazzi''-ის რედაქცია გთავაზობთ, რეკომენდირებულია დილით, უზმოზე.
1 ან 2 ჩაის კოვზი ქოქოსის ზეთი ჩაიდეთ პირში და ღეჭეთ 20 წუთის განმავლობაში.
ქოქსის ზეთი მიიღებს თხევად კონსისტენციას, რომელიც იწოვს პირის ღრუში ბინადარ ბაქტერიებსა და ტოქსინებს. სწორედ ამიტომ, არავითარ შემთხვევაში გადაყლაპოთ ეს მასა, უბრალოდ გადმოაფურთხეთ ის. ამ პროცედურის შემდეგ გამოივლეთ პირის ღრუში თბილი წყალი და გაიხეხეთ კბილები ჩვეულებისამებრ.
თუ თქვენ სერიოზული პრობლემები გაწუხებთ, შეგიძლიათ მიმართოთ ამ პროცედურას დღეში რამდენჯერმე.
გისურვებთ ყველაფერს საუკეთესოს!
ამ განსაკუთრებულ პროცედურას უძველესი აიურვედული მოძღვრება გვთავაზობს. მისი დახმარებით თქვენ გაიმაგრებთ ღრძილებს, გაითეთრებთ და გაიჯანსაღებთ კბილის ემალს, გაანადგურებთ პირის ღრუში ბინადარ მავნე ბაქტერიებს და მოიშორებთ კბილის ქვას. ნამდვილად გასაოცარია, არა?
გარდა ამისა, ეს მეთოდი ძალზედ სასარგებლოა თავის ტკივილის, ართრიტის, ასთმის, კანის დაავადებების, ინფექციური დაავადებებისა და ჰორმონალური დისბალანსის დროს.
ამ იაფი, თუმცა ძალზედ ეფექტური პროცედურისთვის გვერდითი მოვლენები არ არის დამახასიათებელი.
აიურვედა გვთავაზობს ქოქოსის ზეთის გამოყენებას პირის ღრუს გასაჯანსაღებლად. ეს პროდუქტი გამდიდრებულია სასარგებლო მიკროელემენტებით, ფლობს ანტიბაქტერიულ და ანთების საწინააღმდეგო თვისებებს, რის ხარჯზეც ის ძალზედ სასარგებლოა ჩვენი ჯანმრთელობისთვის.
ამ პროცედურის ჩატარება, რომელსაც დღეს ''Fpaparazzi''-ის რედაქცია გთავაზობთ, რეკომენდირებულია დილით, უზმოზე.
1 ან 2 ჩაის კოვზი ქოქოსის ზეთი ჩაიდეთ პირში და ღეჭეთ 20 წუთის განმავლობაში.
ქოქსის ზეთი მიიღებს თხევად კონსისტენციას, რომელიც იწოვს პირის ღრუში ბინადარ ბაქტერიებსა და ტოქსინებს. სწორედ ამიტომ, არავითარ შემთხვევაში გადაყლაპოთ ეს მასა, უბრალოდ გადმოაფურთხეთ ის. ამ პროცედურის შემდეგ გამოივლეთ პირის ღრუში თბილი წყალი და გაიხეხეთ კბილები ჩვეულებისამებრ.
თუ თქვენ სერიოზული პრობლემები გაწუხებთ, შეგიძლიათ მიმართოთ ამ პროცედურას დღეში რამდენჯერმე.
გისურვებთ ყველაფერს საუკეთესოს!

