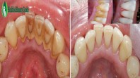
ეს ის საშუალებაა, რომლის დახმარებითაც კბილის ქვა მარტივად მოვიშორე სახლის პირობებში

დღესდღეობით ყველაზე პოპულარული სტომატოლოგიური პროცედურა კბილის ქვის ჩამორეცხვაა. საწმუხაროდ, ყველა ადამიანი ვერ აძლევს საკუთარ თავს ამ პროცედურის ჩატარების უფლებას, რაც მათი ფინანსური მდგომარეობითაა განპირობებული.
საბედნიეროდ, არსებობს საშუალება, რომლის დახმარებითაც საკმაოდ მარტივადაა შესაძლებელი კბილის ქვის მოშორება სახლის პირობებში, თუმცა ამის შესახებ დღემდე ძალიან ცოტა ადამიანმა თუ იცოდა.

კბილის ქვის ჩამორცეხვა სახლის პირობებში
გამოყენება:
მიღებული საშუალება ჩაღეჭეთ დღეში სამჯერ. თითოეული პროცედურის შემდეგ აუცილებელია კბილების გამოხეხვა უბრალო პასტისა და ჯაგრისის გამოყენებით. დაახლოებით 2 კვირაში მიღებული შედეგით სასიამოვნოდ გაოცებული დარჩებით!
ეს ნარევი ძლიერი ანტიბაქტერიული საშუალებაა, რომელიც გვეხმარება კბილის ქვის ჩამორეცხვაში და საშინელი ყვითელი ნადების მოშორებაში.
საბედნიეროდ, არსებობს საშუალება, რომლის დახმარებითაც საკმაოდ მარტივადაა შესაძლებელი კბილის ქვის მოშორება სახლის პირობებში, თუმცა ამის შესახებ დღემდე ძალიან ცოტა ადამიანმა თუ იცოდა.
კბილის ქვის ჩამორცეხვა სახლის პირობებში
- შავი ბოლოკი;
- ლიმონის წვენი;
გამოყენება:
- გახეხეთ შავი ბოლოკი წვრილ სახეხზე.
- მიღებულ ფაფაში ჩაამატეთ რამდენიმე წვეთი ლიმონის წვენი.
მიღებული საშუალება ჩაღეჭეთ დღეში სამჯერ. თითოეული პროცედურის შემდეგ აუცილებელია კბილების გამოხეხვა უბრალო პასტისა და ჯაგრისის გამოყენებით. დაახლოებით 2 კვირაში მიღებული შედეგით სასიამოვნოდ გაოცებული დარჩებით!
ეს ნარევი ძლიერი ანტიბაქტერიული საშუალებაა, რომელიც გვეხმარება კბილის ქვის ჩამორეცხვაში და საშინელი ყვითელი ნადების მოშორებაში.

